
Κότσι στο δάκτυλο – Τι είναι;
Τι είναι το κότσι;
Το κότσι είναι ένα ψευδο-οστέινο εξόγκωμα που σχηματίζεται στη βάση του μεγάλου δακτύλου του ποδιού σας. Αυτός ο τύπος κάλου αναπτύσσεται στο εσωτερικό άκρο της άρθρωσης του μεγάλου δακτύλου του ποδιού σας – της μεταταρσοφαλαγγικής άρθρωσης (MTΦ).
Η άρθρωση MTΦ είναι το σημείο όπου η βάση του μεγάλου δακτύλου του ποδιού σας συναντά τον υπόλοιπο άκρο πόδα Ο ιατρικός όρος για το κότσι είναι hallux valgus.
Το κότσι συμβαίνει όταν κάτι ασκεί επιπλέον πίεση στο μεγάλο δάχτυλο του ποδιού σας και το σπρώχνει έξω από τη φυσική του ευθυγράμμιση, προς τα άλλα δάχτυλα του ποδιού σας.
Τύποι κάλων
Οι κάλοι στο μεγάλο δάχτυλο του ποδιού σας από επιπλέον πίεση είναι οι πιο συνηθισμένοι, αλλά μπορούν να σχηματιστούν και σε άλλα δάχτυλα του ποδιού και για άλλους λόγους.
Άλλοι τύποι κάλων περιλαμβάνουν:
Συγγενείς κάλοι (συγγενής hallux valgus): Ορισμένα μωρά γεννιούνται με κάλους.
Νεανικός ή εφηβικός hallux valgus: Αυτοί είναι τύποι κάλων που επηρεάζουν άτομα κάτω των 18 ετών.
Bunionettes: Σχηματίζονται στη βάση του μικρού δακτύλου του ποδιού σας. Είναι συνήθως το αποτέλεσμα της χρήσης παπουτσιών που δεν εφαρμόζουν σωστά ή μιας δραστηριότητας που πιέζει το μικρό δάχτυλο του ποδιού σας προς τα άλλα δάχτυλα του ποδιού σας.
Πόσο συχνοί είναι οι κάλοι;
Οι κάλοι είναι πολύ συνηθισμένοι. Οι ειδικοί εκτιμούν ότι περίπου το ένα τρίτο των ατόμων έχουν κότσι ή κάποιον τύπο κάλου
Συμπτώματα και αιτίες
Ποια είναι τα συμπτώματα από το κότσι;
Το πιο προφανές σύμπτωμα από το κότσι είναι η οστέϊνη αντι-αισθητική ανάπτυξη που σχηματίζεται στη βάση του μεγάλου δακτύλου του ποδιού σας. Συνήθως μπορείτε να δείτε και να αισθανθείτε το οστέινο εξόγκωμα.

Ένα κότσι μπορεί να προκαλέσει και άλλα συμπτώματα, όπως:
- Πόνο ή δυσκαμψία στο μεγάλο δάχτυλο του ποδιού σας.
- Πρήξιμο στην περιοχή και τις γύρω αρθρώσεις.
- Αποχρωματισμό ή ερυθρότητα.
- Αδυναμία κίνησης ή κάμψης του μεγάλου δακτύλου του ποδιού σας (μπορεί να αισθάνεστε πόνο ή κάψιμο όταν λυγίζετε το δάκτυλο του ποδιού σας).
- Δυσκολία στη χρήση ορισμένων τύπων παπουτσιών ή πόνος που επιδεινώνεται όταν φοράτε παπούτσια.
- Ακανθώδεις κάλους (πάχυνση του δέρματος).
- Σφυροδακτυλία (επώδυνοι, σφιχτοί τένοντες και αρθρώσεις των δακτύλων).
- Μούδιασμα στο μεγάλο δάχτυλο του ποδιού σας ή γύρω από αυτό.
Τι προκαλεί το κότσι;
Δεν υπάρχει μόνο ένας λόγος για τον οποίο αναπτύσσεται το κότσι.
Πιστεύεται ότι ένας συνδυασμός παραγόντων – όπως το οικογενειακό ιστορικό, η ανώμαλη εμβιομηχανική του άκρου ποδός, η αυξημένη πίεση και η επιλογή παπουτσιών – μπορεί να τα προκαλέσει.
Όταν κάτι ασκεί επιπλέον πίεση στην άρθρωση του μεγάλου δακτύλου του ποδιού σας για μεγάλο χρονικό διάστημα (συνήθως χρόνια), η πίεση αυτή μπορεί να ωθήσει την άρθρωση εκτός της φυσικής της ευθυγράμμισης και προς τα άλλα δάχτυλα του ποδιού σας.

Τελικά, σχηματίζεται ένα κότσι στην άρθρωση MTΦ, αφού το σώμα σας αντισταθμίζει το γεγονός ότι το δάχτυλο του ποδιού σας σπρώχνεται έξω από τη συνηθισμένη του θέση.
Οι πιο συνηθισμένες αιτίες της επιπλέον πίεσης στην άρθρωση του μεγάλου δακτύλου του ποδιού σας περιλαμβάνουν:
- Να φοράτε στενά ή μυτερά παπούτσια που στριμώχνουν τα δάχτυλα των ποδιών σας.
- Ο τρόπος με τον οποίο περπατάτε (η μηχανική των ποδιών σας).
- Καταστάσεις υγείας που προκαλούν φλεγμονή (όπως η ρευματοειδής αρθρίτιδα ή ο λύκος).
- Η πολύωρη ορθοστασία
Παράγοντες κινδύνου
Ο καθένας μπορεί να αναπτύξει κότσι. Ορισμένες ομάδες ατόμων που έχουν περισσότερες πιθανότητες να εμφανίσουν κότσι περιλαμβάνουν:
Οι γυναίκες (έχει παρατηρηθεί μεγαλύτερη συχνότητα στο γυναικείο φύλο)
Άτομα των οποίων οι βιολογικοί γονείς έχουν κάλους ή προβλήματα με τη μηχανική των ποδιών τους. Περισσότερο από το 70% των ατόμων με κότσια έχουν βιολογικό γονέα που τα είχε.
Άτομα με ιστορικό τραυματισμών στα πόδια (συμπεριλαμβανομένων των αθλητών).
Επιπλοκές των κάλων
Το να έχετε κότσι μπορεί να αυξήσει τον κίνδυνο για:
- Θυλακίτιδα (επώδυνοι, γεμάτοι υγρό σάκοι γύρω από τις αρθρώσεις).
- Σφυροδακτυλία.
- Οστεοαρθρίτιδα.
Διάγνωση και εξετάσεις
Πώς διαγιγνώσκεται το κότσι;
Ένας πάροχος υγειονομικής περίθαλψης θα διαγνώσει ένα κότσι με μια φυσική εξέταση.
Θα εξετάσει το πόδι σας και θα σας ρωτήσει για τα συμπτώματά σας.
Πείτε στον επαγγελματία υγείας πότε παρατηρήσατε για πρώτη φορά ένα εξόγκωμα κοντά στο μεγάλο δάχτυλο του ποδιού σας ή ποιές δραστηριότητες επιδεινώνουν τα συμπτώματά σας.
Μην ξεχάσετε να αναφέρετε το ιστορικό της οικογένειας σας καθώς επίσης και τι τύπο υποδημάτων φοράτε στην καθημερινότητα σας.
Ίσως χρειαστεί να επισκεφθείτε έναν ποδίατρο – έναν πάροχο που ειδικεύεται στη φροντίδα των ποδιών σας.
Ποιες εξετάσεις γίνονται για τη διάγνωση;
Μπορεί να μην χρειαστείτε καμία εξέταση για να διαγνώσει ο πάροχός σας ένα κότσι.

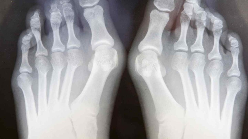
Ο επαγγελματίας υγείας ίσως χρησιμοποιήσει ακτινογραφίες ποδιών για να προσδιορίσει τη συνολική ευθυγράμμιση των οστών σας και της άρθρωσης MTΦ, καθώς και το πραγματικό μέγεθος που έχει το κότσι.
Διαχείριση και θεραπεία
Πώς αντιμετωπίζεται το κότσι;
Οι πιο συνηθισμένες θεραπείες για το κότσι περιλαμβάνουν:
Αλλαγές υποδημάτων: Η αλλαγή σε φαρδιά παπούτσια με χώρο για τα δάχτυλα των ποδιών μπορεί να μειώσει την πίεση από τα δάχτυλα των ποδιών σας. Ίσως μπορείτε να ζητήσετε από τον υποδηματοποιό να ‘ανοίξει’ λίγο χώρο στα αγαπημένα σας υποδήματα, αν και αυτή η λύση συνήθως δεν θα αποφέρει σημαντική μείωση της πίεσης στο δάκτυλο.
Μαξιλάρια και ταινίες: Τα μη συνταγογραφούμενα μαξιλαράκια για το κότσι μαλακώνουν την περιοχή γύρω από το κότσι για να ανακουφίσουν την πίεση. Ο θεράπων ιατρός σας μπορεί να σας προτείνει τη χρήση ιατρικής ταινίας για να συγκρατήσετε τα δάχτυλα των ποδιών σας στη σωστή θέση.

Ορθωτικά πέλματα: Τα ορθωτικά πέλματα είναι ένθετα παπουτσιών που υποστηρίζουν τα πόδια σας.
Το MTS Syros διαθέτει 2 διαφορετικά συστήματα εξέτασης άκρου ποδός και κατασκευής πελμάτων, ώστε να παρέχουμε λύσεις για οποιοδήποτε πρόβλημα.
Στα πλαίσια της διαδικασίας αυτής πραγματοποιούμε μια λεπτομερή ανάλυση του πέλματος ώστε να εντοπίσουμε όλες τις πιέσεις που δέχεται το μεγάλο δάκτυλο καθώς και τις μηχανικές αιτίες που τις προκαλούν.

Κατόπιν διαμορφώνουμε για εσάς το κατάλληλο ορθωτικό πέλμα, το τοποθετούμε στο υπόδημα σας και επανεξετάζουμε τη στάση και τη βάδιση ώστε να είμαστε σίγουροι πως επιτύχαμε την διόρθωση που επιθυμούμε.
Μετά την τοποθέτηση πέλματος παύει να υφίσταται η γεννεσιουργός αιτία του κάλου και συμβαίνουν τα εξής;
- Αν δεν έχετε αναπτύξει κότσι, αποφέυγεται αυτή την δυσάρεστη κατάσταση, επομένως προλαμβάνεται ανεπιθύμητους κάλους και ενοχλήσεις
- Αν έχετε κότσι ή κάλο σταματάμε την επιπλέον πίεση και έτσι δεν αναπτύσσεται πλεόν άλλο το κότσι. Η καθημερινότητα γίνεται εξαιρετικά καλύτερη, ο πόνος φεύγει, η βάδιση γίνεται ξανά απολαυστική και μπορείτε να φοράτε τα παπούτσια σας (εφόσον εννοείται είναι κατάλληλα).
- Προσοχή, το κότσι ΔΕΝ μπορεί να εξαφανιστεί. Αν έχετε ήδη μικρό κότσι που δεν επηρεάζει σημαντικά την καθημερινότητα σας, ο πάτος θα σας βοηθήσει να σταματήσετε την ανάπτυξη του και να αποφύγετε χειρουργικές επεμβάσεις, Αν όμως το κότσι είναι μεγάλο και δυσλειτουργικό, τότε ίσως χρειαστεί πρώτα χειρουργική αφαίρεση και μετά (απαραίτητα) κατασκευή πάτου για την αποφυγή επανασχηματισμού κάλου.
Αναλγητικά: Τα μη στεροειδή αντιφλεγμονώδη φάρμακα (ΜΣΑΦ) μειώνουν τον πόνο και το πρήξιμο. Μπορεί να χρειαστείτε χάπια που παίρνετε από το στόμα ή τοπικά ΜΣΑΦ (κρέμες ή αλοιφές που τρίβετε στο δέρμα σας γύρω από το κότσι). Μην παίρνετε ΜΣΑΦ για περισσότερες από 10 συνεχόμενες ημέρες χωρίς να μιλήσετε με τον θεράποντα ιατρό σας.
Πάγος: Η εφαρμογή πάγου ή ψυχρών επιθεμάτων στο προσβεβλημένο δάχτυλο του ποδιού σας μπορεί επίσης να βοηθήσει. Τυλίξτε μια κρύα συσκευασία σε μια λεπτή πετσέτα για να αποφύγετε να την τοποθετήσετε απευθείας στο δέρμα σας.
Κορτικοστεροειδή: Τα κορτικοστεροειδή είναι συνταγογραφούμενα φάρμακα που μειώνουν τη φλεγμονή.
Φυσικοθεραπεία: Μπορεί να χρειαστεί να κάνουμε μερικές συνεδρίες φυσικοθεραπείας για να ενδυναμώσουμε το πόδι σας και να διορθώσουμε την μηχανική που λειτουργεί.
Θα σας δώθούν ασκήσεις ή διατάσεις που μπορεί να βοηθήσουν τα δάχτυλα των ποδιών σας να παραμείνουν σε καλύτερη ευθυγράμμιση. Η χειροπρακτική επίσης μπορεί να βοηθήσει στην κινητοποίηση και ανακούφιση γενικότερα στον άκρο πόδα.
Χειρουργική επέμβαση: Ο θεράπων ιατρός σας μπορεί να σας συστήσει χειρουργική επέμβαση διόρθωσης στο κότσι, εάν οι άλλες θεραπείες δεν ανακουφίζουν τα συμπτώματά σας ή το περπάτημα είναι εξαιρετικά επώδυνο.
Ο θεράπων ιατρός ή ο χειρουργός σας θα σας ενημερώσει σχετικά με ποιον τύπο χειρουργικής επέμβασης θα χρειαστείτε και τι να περιμένετε.
Οι κάλους φεύγουν από μόνοι τους;
Όχι, οι κάλοι δεν φεύγουν έτσι απλά και δεν μπορείτε να διορθώσετε τους κάλους μόνοι σας. Επισκεφθείτε έναν πάροχο υγειονομικής περίθαλψης εάν έχετε κότσι. Θα το διαγνώσουν και θα σας προτείνουν θεραπείες για την ανακούφιση των συμπτωμάτων σας.
Πρόληψη
Πώς μπορώ να προλάβω ένα κότσι;
Δεδομένου ότι οι κάλοι προκαλούνται από ένα συνδυασμό πολλών διαφορετικών λόγων, μπορεί να είναι δύσκολο να προληφθούν. Τούτου λεχθέντος, το να φοράτε καλά προσαρμοσμένα παπούτσια μπορεί να βοηθήσει στη μείωση της εξέλιξης των κάλων.
Επίσης η διόρθωση του τρόπου στάσης και βάδισης με ορθωτικά πέλματα μπορεί να αποβεί σωτήρια στην αποφυγή ανάπτυξης κάλων γενικότερα αλλα και ειδικότερα σχετικά με το κότσι.
Πως να διαλέξω υποδήματα;
Σε γενικές γραμμές, ακολουθήστε αυτές τις συμβουλές για να βρείτε άνετα παπούτσια που εφαρμόζουν σωστά στα πόδια σας:
Αποφύγετε παπούτσια με στενές, μυτερές άκρες – ειδικά αν εφαρμόζουν σφιχτά στα δάχτυλα των ποδιών σας.
Ακόμη και αν γνωρίζετε το μέγεθός σας, δοκιμάστε μερικά ζευγάρια παπούτσια για να βεβαιωθείτε ότι έχετε την καλύτερη δυνατή εφαρμογή. Τα μεγέθη των παπουτσιών που αναγράφονται στην ετικέτα δεν είναι πάντα τα ίδια μεταξύ εμπορικών σημάτων και στυλ.
Καθίστε, σταθείτε και περπατήστε με τα νέα παπούτσια πριν τα αγοράσετε. Βεβαιωθείτε ότι καμία κίνηση ή θέση δεν πονάει, δεν τσιμπάει ή δεν πιέζει τα δάχτυλα των ποδιών σας.
Δοκιμάζοντας τα παπούτσια στο τέλος της ημέρας μπορεί να έχετε μια πιο ακριβή εφαρμογή (τα πόδια σας φυσικά πρήζονται ελαφρώς κατά τη διάρκεια της ημέρας και είναι ‘μεγαλύτερα’ αργότερα μέσα στην ημέρα απ’ ό,τι είναι το πρωί).

Εάν έχετε δομικά προβλήματα στα πόδια, όπως πλατυποδία ή πόδια με υψηλή καμάρα, ρωτήστε μας σχετικά με την χρήση ορθωτικών για την πρόληψη των κάλων.
Προοπτικές / πρόγνωση
Τι μπορώ να περιμένω αν έχω κότσι;
Οι περισσότεροι άνθρωποι με κότσι είναι σε θέση να διαχειριστούν τα συμπτώματά τους με λίγες μακροπρόθεσμες επιπτώσεις στην καθημερινότητά τους.
Μην περιμένετε να επισκεφθείτε έναν επαγγελματία υγείας εάν έχετε συμπτώματα που μοιάζουν με κότσι, καθώς αυτοί οι καλοι είναι μη αναστρέψιμου σε βάθος χρόνου.
Όσο νωρίτερα ξεκινήσετε τη θεραπεία, τόσο πιο πιθανό είναι να μπορέσετε να διαχειριστείτε τα συμπτώματά σας χωρίς χειρουργική επέμβαση.
Αυτός είναι και ο λόγος που επιμένουμε ώστε όλοι να κάνουν τουλάχιστον μια φορά στη ζωή τους έναν έλεγχο της λειτουργίας του πέλματος τους, με αξιολόγηση και πελματογράφηση.
Ωστόσο αν τελικά χρειαστεί χειρουργείο, τα άτομα που χρειάζονται χειρουργική επέμβαση στο κότσι μπορούν συνήθως να επανέλθουν σε όλες τις συνήθεις δραστηριότητές τους σε δύο έως τρεις μήνες.
Πότε πρέπει να επισκεφθώ τον πάροχο υγειονομικής περίθαλψης;
Επισκεφθείτε έναν πάροχο υγειονομικής περίθαλψης ή ποδίατρο μόλις παρατηρήσετε οποιοδήποτε από τα ακόλουθα συμπτώματα:
Πόνο στο πόδι ή τα δάχτυλα των ποδιών σας.
Δυσκολία στο περπάτημα ή στην κίνηση.
Ένα αξιοσημείωτο εξόγκωμα κοντά στη βάση του μεγάλου δακτύλου του ποδιού σας.
Πρήξιμο στα δάχτυλα των ποδιών σας ή γύρω από αυτά.
Τι ερωτήσεις πρέπει να κάνω στον πάροχο υγειονομικής περίθαλψης;
- Γιατί απέκτησα κότσι;
- Ποιες θεραπείες θα χρειαστώ;
- Πώς μπορώ να αποτρέψω την ανάπτυξη κότσιου στο άλλο πόδι μου;
- Πρέπει να αποφύγω ορισμένους τύπους παπουτσιών;